Chấn thương sọ não ở trẻ em và những dấu hiệu nhận biết cho trẻ đi khám chữa kịp thời
Ngày 29/12/2018, các bác sỹ trực tại khoa Ngoại thần kinh - Lồng ngực kết hợp với kíp gây mê của khoa Phẫu thuật - Gây mê hồi sức, Bệnh viện đa khoa tỉnh Bắc Ninh đã kịp thời cứu sống một bệnh nhân nhi 36 tháng tuổi đến viện sau khi ngã ở nhà với chẩn đoán: chấn thương sọ não tụ máu ngoài màng cứng lớn vùng thái dương đỉnh bên phải. Bệnh nhi Nguyễn Tiến Đ, 36 tháng tuổi, quê ở Thanh Khương - Thuận Thành - Bắc Ninh) nhập viện trong tình trạng: trẻ chậm chạp, không nói, bỏ ăn, nôn tăng dần…Trước đó, bố cháu và cháu trượt chân ngã ở sân nhà. Ngay khi bệnh nhi nhập viện chúng tôi thấy trẻ chậm chạp, không nói, chỉ khóc yếu, tự thở đều, không có liệt chân tay, đồng tử 2 bên đều, phản xạ ánh sáng còn tốt. Các bác sĩ cho bệnh nhi dùng thuốc, thở oxy, làm xét nghiệm và chụp cắt lớp vi tính sọ não cấp cứu, phát hiện thấy một khối máu tụ ngoài màng cứng lớn vùng thái dương đỉnh bên phải là nguyên nhân gây nên các triệu chứng lâm sàng của bệnh nhi.
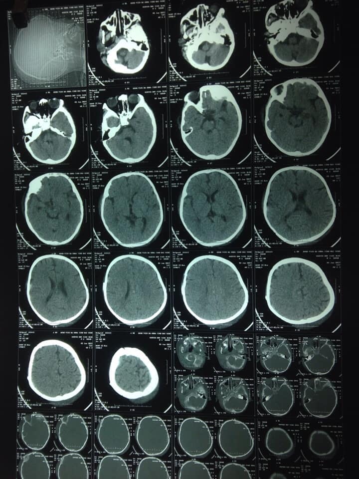
![]() Hình ảnh phim cắt lớp vi tính sọ trước phẫu thuật |
'Hình ảnh phim cắt lớp vi tính sọ sau phẫu thuật |
Ngay lập tức , các bác sĩ đã hội chẩn và mổ cấp cứu lấy khối máu tụ cho bệnh nhi. Ca mổ hoàn thành sau 2 giờ với sự cố gắng và đầy trách nhiệm của cả bác sỹ phẫu thuật và kíp gây mê. Sau phẫu thuật, bệnh nhi được hồi sức, thở máy, truyền máu, dùng thuốc, theo dõi. Đến sáng ngày 30 tháng 12 năm 2018, trẻ tỉnh, mở mắt tự nhiên, tự thở đều, đã nói được và nhận được người thân. Cả gia đình cháu cảm thấy rất hạnh phúc và những nụ cười xuất hiện làm xua tan đi nỗi lo lắng, sự mệt mỏi và cả thời tiết giá lạnh bên ngoài.
Các bậc cha mẹ hãy cho trẻ đi khám chuyên khoa ngoại thần kinh khi có chấn thương va đập vùng đầu và kèm theo các dấu hiệu sau: trẻ chậm chạp dần, nôn trớ nhiều lần, yếu liệt chân tay một bên, không nói được, thóp phồng ở trẻ còn thóp, ngoài ra có thể thấy sưng nề vùng đầu kèm theo bầm tím quanh mắt, bầm tím sau tai nạn.
T/g: Bs. Hoàng Hải Hòa – Khoa TKLN
Quản trị tin tức

.jpg)
'






