MỘT SỐ KẾT QUẢ HOẠT ĐỘNG CHÍNH CỦA TRUNG TÂM GIÁM ĐỊNH Y KHOA NHỮNG NĂM QUA
28/11/2024Trung tâm Giám định Y khoa (GĐYK) trực thuộc Bệnh viện Đa khoa tỉnh Bắc Ninh được thành lập theo Quyết định số 667/QĐ-SYT ngày 07/11/2017 của Giám đốc Sở Y tế Bắc Ninh.
HỘI THI TAY NGHỀ CHUYÊN MÔN NĂM 2024
22/11/2024Từ ngày 19 – 20/11/2024, Bệnh viên đa khoa tỉnh tổ chức Hội thi tay nghề chuyên môn cho Bác sỹ, điều dưỡng, hộ sinh, kỹ thuật viên năm 2024. Với hai phần thi bao gồm phần thi lý thuyết và phần thi thực hành. Hội thi với sự tham gia của 144 thí sinh đến từ các khoa, phòng trong bệnh viện, có thời gian công tác tại bệnh viện dưới 5 năm.
PHẪU THUẬT NỘI SOI ĐIỀU TRỊ U TRUNG THẤT TẠI BỆNH VIỆN ĐA KHOA TỈNH BẮC NINH
22/11/2024U trung thất là các khối u nguyên phát hoặc thứ phát xuất hiện ở vùng trung thất. Khối u này có thể là u trung thất lành tính hay u trung thất ác tính. Vùng trung thất là khu vực ở ngực, được bao quanh bởi xương ức ở phía trước, đốt sống ngực ở phía sau, hai bên là màng phổi trung thất, mặt dưới là cơ hoành, mặt trên là nền cổ. Trung thất chứa tim, động mạch chủ, thực quản, tuyến ức, khí quản, hạch bạch huyết và dây thần kinh.
THÀNH LẬP ĐƠN NGUYÊN PHỤ KHOA TRỰC THUỘC KHOA NGOẠI TỔNG HỢP
02/10/2024Với mục tiêu nâng cao năng lực chuyên môn, phát triển kỹ thuật chuyên ngành Phụ khoa tại bệnh viện, hướng tới thành lập mới khoa Phụ sản; đồng thời chuyên môn hóa, nâng cao hiệu quả chăm sóc điều trị người bệnh, tăng cường thu dung điều trị các bệnh nhân phụ khoa, giảm tỷ lệ phải chuyển viện, Bệnh viện Đa khoa tỉnh Bắc Ninh thành lập đơn nguyên Phụ khoa trực thuộc khoa Ngoại Tổng hợp, từ ngày 01/10/2024.
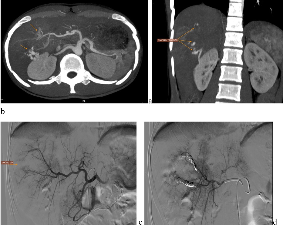
LIÊN TIẾP CÁC BỆNH NHÂN CHẤN THƯƠNG VỠ TẠNG ĐƯỢC ĐIỀU TRỊ ỔN ĐỊNH BẰNG PHƯƠNG PHÁP CAN THIỆP MẠCH
27/08/2024Chỉ tính riêng từ ngày 18/8 đến 22/8, Bệnh viện Đa khoa tỉnh Bắc Ninh tiếp nhận điều trị cấp cứu 04 bệnh nhân đa chấn thương, có vỡ tạng đặc gây chảy máu trong ổ bụng, được điều trị thành công bằng phương pháp can thiệp nội mạch.

.jpg)
.jpg)
.jpg)
.jpg)








