RĂNG KHÔN MỌC LỆCH VÀ NHỮNG BIẾN CHỨNG KHÔNG NÊN CHỦ QUAN
Răng khôn, còn gọi là răng số 8, là răng hàm lớn mọc sau cùng trên cung hàm, thường xuất hiện trong độ tuổi từ 17 đến 25. Do mọc muộn khi các răng khác đã ổn định vị trí, nhiều trường hợp răng khôn không đủ chỗ để mọc bình thường, dẫn đến mọc lệch, mọc ngầm hoặc mọc kẹt trong xương hàm. Tình trạng này có thể gây đau, viêm nhiễm và nhiều biến chứng răng miệng nếu không được phát hiện, điều trị kịp thời.
.jpg)
Trong thực hành lâm sàng Răng Hàm Mặt, răng khôn mọc lệch thường gặp ở các dạng sau:
- Mọc lệch gần (Mesioangular impaction): Răng nghiêng về phía răng số 7.
- Mọc lệch xa (Distoangular impaction): Răng nghiêng về phía sau cung hàm.
- Mọc ngang (Horizontal impaction): Răng nằm ngang trong xương hàm, có thể chèn vào răng số 7.
- Mọc thẳng nhưng bị kẹt (Vertical impaction): Răng mọc gần đúng trục nhưng không thể trồi lên hoàn toàn do bị cản trở bởi xương hoặc mô lợi.
Dù ở dạng nào, răng khôn mọc lệch cũng có thể gây đau và nhiều biến chứng nếu không được theo dõi, xử trí kịp thời.
.jpg)
Hình ảnh các loại răng khôn mọc lệch
Các biến chứng do răng khôn mọc lệch gây ra:
Viêm lợi trùm (Pericoronitis): Đây là biến chứng thường gặp nhất của răng khôn mọc lệch hoặc mọc bán phần. Khi răng chỉ trồi lên một phần khỏi lợi, phần lợi phủ phía trên tạo thành “túi lợi trùm”, dễ tích tụ thức ăn và vi khuẩn. Người bệnh có thể xuất hiện các biểu hiện như đau vùng răng khôn, sưng nướu, khó há miệng, hôi miệng hoặc sốt nhẹ. Nếu không được điều trị kịp thời, tình trạng viêm có thể lan rộng sang vùng má, góc hàm hoặc gây nhiễm trùng vùng hàm mặt.
Viêm lợi trùm (Pericoronitis): Đây là biến chứng thường gặp nhất của răng khôn mọc lệch hoặc mọc bán phần. Khi răng chỉ trồi lên một phần khỏi lợi, phần lợi phủ phía trên tạo thành “túi lợi trùm”, dễ tích tụ thức ăn và vi khuẩn. Người bệnh có thể xuất hiện các biểu hiện như đau vùng răng khôn, sưng nướu, khó há miệng, hôi miệng hoặc sốt nhẹ. Nếu không được điều trị kịp thời, tình trạng viêm có thể lan rộng sang vùng má, góc hàm hoặc gây nhiễm trùng vùng hàm mặt.
.jpg)
Hình ảnh Viêm lợi trùm do răng khôn
Sâu răng và tổn thương răng số 7: Do vị trí răng khôn nằm sâu trong cung hàm, việc vệ sinh thường gặp nhiều khó khăn. Khi răng khôn mọc lệch về phía trước, chúng có thể tạo khe hở với răng số 7, khiến thức ăn dễ mắc lại và khó làm sạch. Lâu ngày, vi khuẩn phát triển trong vùng này có thể gây sâu răng khôn, sâu răng số 7 hoặc viêm tủy răng, làm ảnh hưởng đến chức năng ăn nhai và có thể phải điều trị phức tạp hơn.
.jpg)
Hình ảnh răng khôn mọc lệch gây sâu răng số 7
Viêm quanh răng và tiêu xương ổ răng: Răng khôn mọc lệch cũng có thể làm tăng nguy cơ viêm quanh răng ở vùng phía sau cung hàm. Vi khuẩn tích tụ lâu ngày gây viêm nướu, phá hủy mô nâng đỡ răng và dẫn đến tiêu xương ổ răng. Nếu không được phát hiện sớm, tình trạng này có thể khiến răng kế cận bị lung lay hoặc mất răng.
.jpg)
Hình ảnh răng khôn mọc lệch gây viêm quanh răng và tiêu xương ổ răng
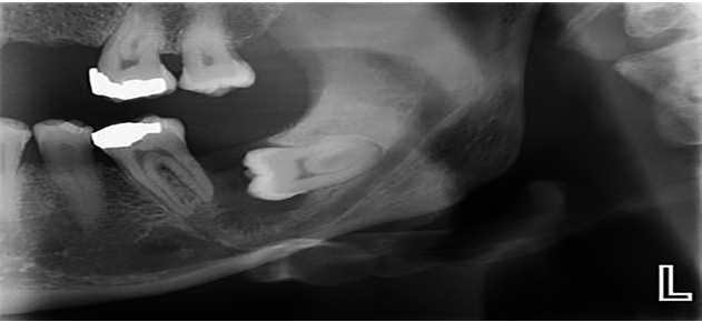
Hình thành nang hoặc tổn thương xương hàm: Trong một số trường hợp răng khôn mọc ngầm lâu ngày, quanh thân răng có thể hình thành nang răng. Nang phát triển chậm nhưng có thể làm tiêu xương hàm, gây đau hoặc làm di lệch các răng kế cận. Nếu không được phát hiện sớm, tổn thương có thể lan rộng và cần can thiệp phẫu thuật.
.jpg)
Hình ảnh nang xương hàm dưới do răng khôn mọc ngầm
Nhiễm trùng lan rộng vùng hàm mặt: Răng khôn mọc lệch bị viêm kéo dài có thể dẫn đến nhiễm trùng vùng hàm mặt, gây sưng đau vùng má, góc hàm hoặc dưới hàm. Trong những trường hợp nặng, nhiễm trùng có thể lan vào các khoang sâu vùng mặt cổ, gây ảnh hưởng đến sức khỏe toàn thân.
.jpg)
Hình ảnh viêm tấy lan tỏa vùng hàm mặt do răng khôn
Phương pháp điều trị chủ yếu đối với răng khôn mọc lệch là phẫu thuật nhổ răng trong các trường hợp:
- Răng mọc lệch gây đau, ảnh hưởng đến ăn nhai và sinh hoạt
- Viêm lợi trùm tái phát nhiều lần
- Gây sâu răng khôn hoặc sâu răng số 7
- Có nguy cơ gây biến chứng như viêm nhiễm, tiêu xương, nang răng
Hiện nay, phẫu thuật nhổ răng khôn được thực hiện bằng các kỹ thuật hiện đại, kết hợp gây tê tại chỗ, giúp bảo đảm an toàn, hạn chế đau và mang lại sự thoải mái hơn cho người bệnh trong quá trình điều trị.
Khoa Răng Hàm Mặt, Bệnh viện Đa khoa Bắc Ninh số 2 là địa chỉ uy tín trong khám và điều trị các bệnh lý răng miệng, đặc biệt trong phẫu thuật răng khôn mọc lệch, mọc ngầm. Với đội ngũ bác sĩ được đào tạo bài bản cùng hệ thống trang thiết bị hỗ trợ điều trị, khoa đã thực hiện thành công hàng trăm ca phẫu thuật răng khôn, góp phần xử trí hiệu quả các biến chứng và nâng cao chất lượng chăm sóc sức khỏe răng miệng cho người dân trong và ngoài tỉnh.
Khoa Răng Hàm Mặt, Bệnh viện Đa khoa Bắc Ninh số 2 là địa chỉ uy tín trong khám và điều trị các bệnh lý răng miệng, đặc biệt trong phẫu thuật răng khôn mọc lệch, mọc ngầm. Với đội ngũ bác sĩ được đào tạo bài bản cùng hệ thống trang thiết bị hỗ trợ điều trị, khoa đã thực hiện thành công hàng trăm ca phẫu thuật răng khôn, góp phần xử trí hiệu quả các biến chứng và nâng cao chất lượng chăm sóc sức khỏe răng miệng cho người dân trong và ngoài tỉnh.
Tác giả : BSCKI Nguyễn Văn Hà – Khoa Răng Hàm Mặt
Quản trị tin tức








