PHẪU THUẬT CẤP CỨU THÀNH CÔNG 02 TRƯỜNG HỢP CHẤN THƯƠNG SỌ NÃO TRẺ EM NẶNG VÀ U NÃO LỚN
Trong thời gian cuối tháng 3/2025, khoa Phẫu thuật Thần kinh – Lồng ngực, Bệnh viện Đa khoa tỉnh Bắc Ninh đã kịp thời thực hiện phẫu thuật thành công cứu sống hai ca bệnh u não lớn và chấn thương sọ não trẻ em nặng – Trong đó có một bệnh nhi 11 tuổi trong tình trạng nguy kịch. Sự thành công của các ca bệnh là minh chứng thể hiện năng lực chuyên môn sâu, sự phản ứng nhanh chóng, tinh thần hết lòng vì người bệnh của tập thể y bác sĩ.
Bệnh nhi 11 tuổi nguy kịch vì chấn thương sọ não nặng
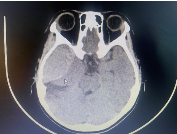
Ngày 22/3/2025, Bệnh viện Đa khoa tỉnh Bắc Ninh tiếp nhận trường hợp bệnh nhân N.T.Y.N (11 tuổi), chấn thương sọ não nặng sau tai nạn giao thông, nhập viện trong tình trạng hôn mê, Glasgow 6 điểm, đồng tử không đều, yếu nửa người trái.
Kết quả chẩn đoán hình ảnh khẩn cấp cho thấy bệnh nhân có khối máu tụ ngoài màng cứng lớn bán cầu phải. Nhận định đây là tình huống cấp cứu ngoại thần kinh nguy kịch, kíp mổ do Ths Hoàng Hải Hòa – Trưởng khoa Phẫu thuật Thần kinh Lồng ngực phụ trách đã tiến hành mở nắp sọ, lấy máu tụ ngoài màng cứng ngay sau tai nạn giao thông khoảng 2 giờ.
.jpg)
Hình ảnh kết quả chụp sọ não bệnh nhân N.T.Y.N
Sau phẫu thuật, bệnh nhi được hồi sức thở máy truyền máu, quá trình theo dõi sau mổ bệnh nhi có dấu hiệu đồng tử phải giãn theo thời gian, được chụp lại 2 lần cắt lớp sọ não kiểm tra phát hiện ổ dập não, tụ máu nhu mô não tiến triển gây phù não đè ép não nhiều( phim chụp trước mổ lần đầu tiên không có- nhận định là tổn thương thứ phát tiến triển). Đội ngũ phẫu thuật quyết định tiếp tục mổ lần thứ hai, tiến hành lấy máu tụ trong nhu mô não, giải phóng vùng tổn thương chèn ép, giải toả não.
Nhờ phát hiện kịp thời và xử lý quyết đoán, bệnh nhi vượt qua cơn nguy kịch. Chỉ sau 2 ngày đã tự thở, phục hồi ý thức, không có liệt thần kinh, và ra viện sau 10 ngày điều trị tích cực.
Phẫu thuật thành công u não lớn trên bệnh nhân 75
Nhờ phát hiện kịp thời và xử lý quyết đoán, bệnh nhi vượt qua cơn nguy kịch. Chỉ sau 2 ngày đã tự thở, phục hồi ý thức, không có liệt thần kinh, và ra viện sau 10 ngày điều trị tích cực.
Phẫu thuật thành công u não lớn trên bệnh nhân 75
Trường hợp thứ hai là bệnh nhân N.T.L (75 tuổi), nhập viện trong tình trạng đau đầu kéo dài, nói khó. Kết quả chụp cộng hưởng từ sọ não xác định có khối u nội sọ lớn (6x6cm) vùng thùy đỉnh chẩm trái, nghi là u màng não, chèn ép cấu trúc não quan trọng.
Đây là ca mổ phức tạp do:
+ Kích thước khối u lớn.
+ Vị trí sát vùng chức năng, cạnh các mạch máu lớn.
+ Bệnh nhân cao tuổi, có nguy cơ biến chứng trong và sau mổ.
Sau khi được giải thích rõ về nguy cơ và tiên lượng, gia đình người bệnh đã tin tưởng lựa chọn phẫu thuật ngay tại bệnh viện tuyến tỉnh. Ca mổ kéo dài hơn 3 giờ đồng hồ, khối u được bóc tách toàn bộ, bảo tồn tối đa tổ chức não lành và chức năng thần kinh. Ngày hậu phẫu thứ nhất, bệnh nhân đã tỉnh táo, tiếp xúc tốt, không yếu liệt. Sau 10 ngày điều trị, bệnh nhân hoàn toàn hồi phục và được cho ra viện ngày 4/4/2025.
Đây là ca mổ phức tạp do:
+ Kích thước khối u lớn.
+ Vị trí sát vùng chức năng, cạnh các mạch máu lớn.
+ Bệnh nhân cao tuổi, có nguy cơ biến chứng trong và sau mổ.
Sau khi được giải thích rõ về nguy cơ và tiên lượng, gia đình người bệnh đã tin tưởng lựa chọn phẫu thuật ngay tại bệnh viện tuyến tỉnh. Ca mổ kéo dài hơn 3 giờ đồng hồ, khối u được bóc tách toàn bộ, bảo tồn tối đa tổ chức não lành và chức năng thần kinh. Ngày hậu phẫu thứ nhất, bệnh nhân đã tỉnh táo, tiếp xúc tốt, không yếu liệt. Sau 10 ngày điều trị, bệnh nhân hoàn toàn hồi phục và được cho ra viện ngày 4/4/2025.
.jpg)
Hình ảnh khối u não kích thước lớn trước mổ
.jpg)
Hình ảnh khối u được phẫu thuật cắt bỏ
Tâm huyết và chuyên môn – hai “chìa khóa” của sự sống
Chia sẻ sau ca mổ, Ths Hoàng Hải Hòa cho biết: “Đây đều là những ca bệnh khó, yêu cầu phẫu thuật viên phải có kiến thức chuyên sâu, kỹ năng xử lý linh hoạt và sự phối hợp nhịp nhàng của toàn bộ kíp mổ, hồi sức, điều dưỡng. Nhưng quan trọng hơn, chính là tinh thần đoàn kết, sẵn sàng hết lòng vì sự sống của người bệnh của các bộ phận chuyên môn cũng như sự phối kết hợp của người bệnh, người nhà người bệnh”. Ths Hoà cũng nhấn mạnh, nhiều bệnh nhân – đặc biệt là người cao tuổi, chưa có thói quen tầm soát sức khỏe định kỳ, dẫn đến phát hiện bệnh muộn khi đã có biến chứng. Để giảm thiểu các tình huống nguy hiểm, bác sĩ khuyến cáo người dân cần đi khám ngay khi có dấu hiệu bất thường như đau đầu kéo dài, yếu tay chân, rối loạn ngôn ngữ,…
Niềm vui lớn nhất là nhìn thấy người bệnh hồi phục
Những kết quả điều trị ấn tượng trong thời gian ngắn là minh chứng rõ nét cho sự nỗ lực không ngừng nghỉ, chuyên môn vững vàng và tinh thần trách nhiệm cao của đội ngũ y bác sĩ khoa Phẫu thuật Thần kinh Lồng ngực nói riêng và đội ngũ nhân viên y tế Bệnh viện Đa khoa tỉnh Bắc Ninh nói chung.
Giữa những ca bệnh phức tạp, mỗi nhịp thở đều đặn, mỗi nụ cười hồi phục của người bệnh chính là nguồn động lực lớn nhất để các y bác sĩ tiếp tục hành trình “giành lại sự sống từ tay tử thần” – Hạnh phúc nghề y!./.
Giữa những ca bệnh phức tạp, mỗi nhịp thở đều đặn, mỗi nụ cười hồi phục của người bệnh chính là nguồn động lực lớn nhất để các y bác sĩ tiếp tục hành trình “giành lại sự sống từ tay tử thần” – Hạnh phúc nghề y!./.
Trần Đình Tùng - Phó trưởng phòng CTXH








