LIÊN TIẾP CÁC BỆNH NHÂN CHẤN THƯƠNG VỠ TẠNG ĐƯỢC ĐIỀU TRỊ ỔN ĐỊNH BẰNG PHƯƠNG PHÁP CAN THIỆP MẠCH
Chỉ tính riêng từ ngày 18/8 đến 22/8, Bệnh viện Đa khoa tỉnh Bắc Ninh tiếp nhận điều trị cấp cứu 04 bệnh nhân đa chấn thương, có vỡ tạng đặc gây chảy máu trong ổ bụng, được điều trị thành công bằng phương pháp can thiệp nội mạch.
Trong đó, hai trường hợp vỡ gan (một trường hợp vỡ gan độ V kèm chấn thương tuyến thượng thận phải, chấn thương ngực gãy nhiều xương sườn, tràn khí màng phổi; một trường hợp vỡ gan độ IV kèm chấn thương tuyến thượng thận phải, chấn thương sọ não, đụng dập nhu mô phổi) và hai trường hợp vỡ lách (một trường hợp vỡ lách độ IV kèm vỡ thận trái; một trường hợp vỡ lách độ IV kèm chấn thương lồng ngực, chấn thương sọ não) đang có dấu hiệu tiếp tục chảy máu vào trong ổ bụng.
Các bệnh nhân đều có tiền sử chấn thương do tai nạn sinh hoạt, tai nạn giao thông và chuyển đến bệnh viện trong tình trạng đa chấn thương, có nhiều nguy cơ ảnh hưởng đến tính mạng người bệnh.
Tiếp đón bệnh nhân tại Trung tâm Cấp cứu & Vận chuyển 115, quy trình cấp cứu được kích hoạt, các bệnh nhân đều nhanh chóng được xử lý, can thiệp hỗ trợ đảm bảo các dấu hiệu sinh tồn, làm xét nghiệm chẩn đoán và hội chẩn Bệnh viện. Phương pháp can thiệp nội mạch cầm máu các tạng đang chảy máu là biện pháp điều trị được ưu tiên lựa chọn nhằm mục tiêu nhanh chóng giải quyết tình trạng chảy máu, hỗ trợ hồi sức và giảm thiểu nguy cơ phẫu thuật cho người bệnh.
Trong đó, hai trường hợp vỡ gan (một trường hợp vỡ gan độ V kèm chấn thương tuyến thượng thận phải, chấn thương ngực gãy nhiều xương sườn, tràn khí màng phổi; một trường hợp vỡ gan độ IV kèm chấn thương tuyến thượng thận phải, chấn thương sọ não, đụng dập nhu mô phổi) và hai trường hợp vỡ lách (một trường hợp vỡ lách độ IV kèm vỡ thận trái; một trường hợp vỡ lách độ IV kèm chấn thương lồng ngực, chấn thương sọ não) đang có dấu hiệu tiếp tục chảy máu vào trong ổ bụng.
Các bệnh nhân đều có tiền sử chấn thương do tai nạn sinh hoạt, tai nạn giao thông và chuyển đến bệnh viện trong tình trạng đa chấn thương, có nhiều nguy cơ ảnh hưởng đến tính mạng người bệnh.
Tiếp đón bệnh nhân tại Trung tâm Cấp cứu & Vận chuyển 115, quy trình cấp cứu được kích hoạt, các bệnh nhân đều nhanh chóng được xử lý, can thiệp hỗ trợ đảm bảo các dấu hiệu sinh tồn, làm xét nghiệm chẩn đoán và hội chẩn Bệnh viện. Phương pháp can thiệp nội mạch cầm máu các tạng đang chảy máu là biện pháp điều trị được ưu tiên lựa chọn nhằm mục tiêu nhanh chóng giải quyết tình trạng chảy máu, hỗ trợ hồi sức và giảm thiểu nguy cơ phẫu thuật cho người bệnh.
.jpg)
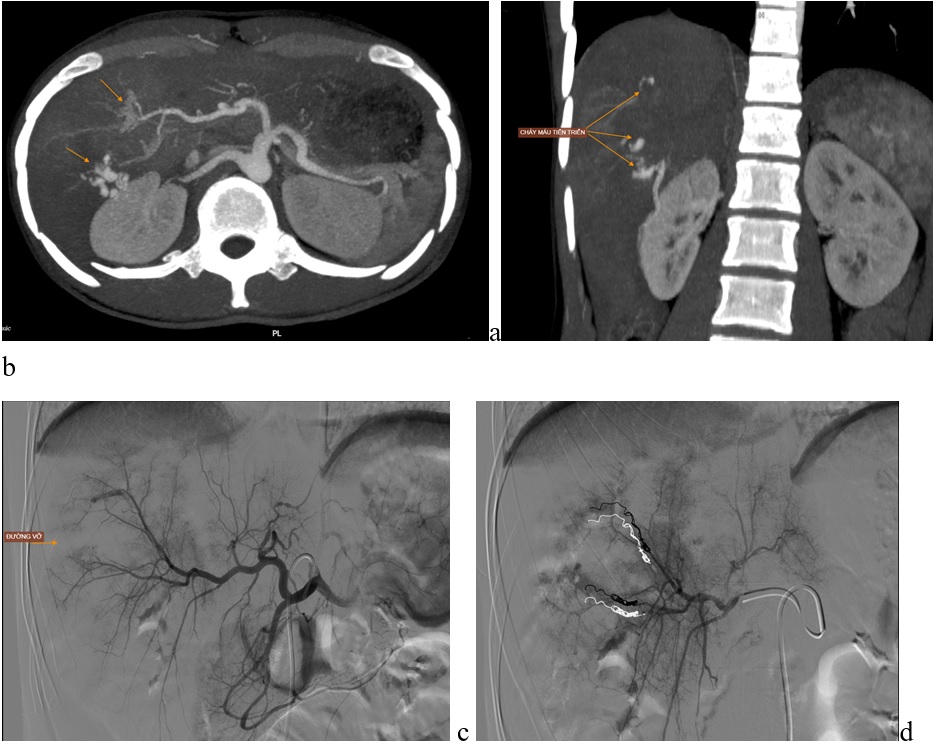
Hình c, d: Chụp mạch DSA xác định mạch tổn thương và coils tắc mạch.
Hình a, b: Cắt lớp vi tính vị trí gan vỡ chảy máu tiến triển
Bệnh nhân nam, 21 tuổi, vỡ gan độ V được điều trị can thiệp cầm máu
Hình a, b: Cắt lớp vi tính vị trí gan vỡ chảy máu tiến triển
Bệnh nhân nam, 21 tuổi, vỡ gan độ V được điều trị can thiệp cầm máu
Chỉ trong thời gian ngắn từ 30 phút – 60 phút thực hiện thủ thuật, dưới sự hướng dẫn của máy DSA, kíp bác sỹ thực hiện kỹ thuật Điện quang can thiệp đã đưa các ống thông nhỏ qua lỗ kim chọc từ động mạch đùi (khoảng 2mm), dùng các vật liệu phù hợp để gây tắc mạch máu tổn thương, chấm dứt tình trạng chảy máu, người bệnh sẽ tiếp tục được điều trị hồi sức hỗ trợ. Cả bốn bệnh nhân hiện tại đã ổn định, các tạng tổn thương được điều trị bảo tồn không phẫu thuật.
Tại bệnh viện Đa khoa tỉnh Bắc Ninh, các kỹ thuật can thiệp tối thiểu ít xâm lấn đã được phát triển từ nhiều năm nay, vừa đạt được hiệu quả điều trị tối ưu, vừa giảm thiểu các yếu tố ảnh hưởng đến sức khỏe người bệnh. Trong đó, Điện quang can thiệp là một trong các lĩnh vực liên tục phát triển, cập nhật, được triển khai thường quy tại bệnh viện, đặc biệt hầu hết các dịch vụ kỹ thuật đều được Bảo hiểm y tế chi trả theo chế độ. Các kỹ thuật Điện quang can thiệp hiện nay đang thực hiện thường quy tại Bệnh viện Đa khoa tỉnh Bắc Ninh như:
- Can thiệp cầm máu chấn thương hoặc sau các kỹ thuật xâm lấn tạng
- Can thiệp động mạch phế quản điều trị ho máu
- Can thiệp điều trị ung thư gan
- Can thiệp điều trị đường mật
- Can thiệp các khối u lành tính của gan, lách, thận
- Can thiệp điều trị u xơ tử cung, lạc nội mạc tử cung, tăng sản lành tính tuyến tiền liệt.
- Can thiệp điều trị giãn tĩnh mạch tinh.
- Can thiệp lấy huyết khối trong điều trị đột quỵ não.
- Các kỹ thuật chọc hút, sinh thiết, dẫn lưu, tiêm xơ,…
Với bề dày những kết quả đạt được trong gần 10 năm triển khai các kỹ thuật Điện quang can thiệp, Bệnh viện Đa khoa tỉnh Bắc Ninh tiếp tục chú trọng đào tạo nguồn nhân lực, đầu tư trang thiết bị hiện đại, tăng cường phối hợp với các Bệnh viện tuyến Trung ương, thực hiện nghiên cứu và áp dụng khoa học kỹ thuật tiên tiến vào thực tiễn để triển khai kỹ thuật mới. Đội ngũ y bác sỹ Bệnh viện không ngừng không ngừng nỗ lực cung cấp dịch vụ khám chữa bệnh chất lượng đáp ứng nhu cầu khám và điều trị ngày càng cao của nhân dân trong và ngoài tỉnh./.
Tại bệnh viện Đa khoa tỉnh Bắc Ninh, các kỹ thuật can thiệp tối thiểu ít xâm lấn đã được phát triển từ nhiều năm nay, vừa đạt được hiệu quả điều trị tối ưu, vừa giảm thiểu các yếu tố ảnh hưởng đến sức khỏe người bệnh. Trong đó, Điện quang can thiệp là một trong các lĩnh vực liên tục phát triển, cập nhật, được triển khai thường quy tại bệnh viện, đặc biệt hầu hết các dịch vụ kỹ thuật đều được Bảo hiểm y tế chi trả theo chế độ. Các kỹ thuật Điện quang can thiệp hiện nay đang thực hiện thường quy tại Bệnh viện Đa khoa tỉnh Bắc Ninh như:
- Can thiệp cầm máu chấn thương hoặc sau các kỹ thuật xâm lấn tạng
- Can thiệp động mạch phế quản điều trị ho máu
- Can thiệp điều trị ung thư gan
- Can thiệp điều trị đường mật
- Can thiệp các khối u lành tính của gan, lách, thận
- Can thiệp điều trị u xơ tử cung, lạc nội mạc tử cung, tăng sản lành tính tuyến tiền liệt.
- Can thiệp điều trị giãn tĩnh mạch tinh.
- Can thiệp lấy huyết khối trong điều trị đột quỵ não.
- Các kỹ thuật chọc hút, sinh thiết, dẫn lưu, tiêm xơ,…
Với bề dày những kết quả đạt được trong gần 10 năm triển khai các kỹ thuật Điện quang can thiệp, Bệnh viện Đa khoa tỉnh Bắc Ninh tiếp tục chú trọng đào tạo nguồn nhân lực, đầu tư trang thiết bị hiện đại, tăng cường phối hợp với các Bệnh viện tuyến Trung ương, thực hiện nghiên cứu và áp dụng khoa học kỹ thuật tiên tiến vào thực tiễn để triển khai kỹ thuật mới. Đội ngũ y bác sỹ Bệnh viện không ngừng không ngừng nỗ lực cung cấp dịch vụ khám chữa bệnh chất lượng đáp ứng nhu cầu khám và điều trị ngày càng cao của nhân dân trong và ngoài tỉnh./.
Tác giả: BSCKI Đào Mạnh Sơn – PTK Chẩn đoán hình ảnh
Quản trị tin tức








